Sırt Omurları Arasında Fıtık Gelişimi
Sırt omurları çeşitli fiziksel ve sinirsel etkilerle sırt fıtığı sorununa dönüşebilir. Omurlar arasında yaşanan bu durum bel bölgesine önemli derecede yansır. Bel ve sırt bölgesinde yer alan omurlarda yaşanan sorunlar, fizik tedavi ve operasyon gerektirebilir.
Sırt Fıtığı Nedir?
Fıtık, en genel anlamıyla omurgada yer alan omurilikler arasındaki sinir sıkışması, bu sıkışmanın taşmaya yol açmasıdır. Belin daha yukarı kısmında, sırt omurlarında görülen fıtıklar sırt fıtığı olarak isimlendirilir. Ciddi bir hastalık olması yanında bel fıtığına göre daha nadir yaşanan bir sorundur.
Sırt Fıtığı ve Bel Fıtığı Aynı mıdır?
Sırt fıtıkları, bulundukları bölge bakımından farklı fıtıklardır. Sırt fıtıkları, daha az hareketli olan omurilik bölümündeki sinir sıkışmasını ifade eder. Bel fıtığı vücudun daha alt bölümlerindeki, kısmen daha hareketli olan omuriliklerde görülen sinir sıkışmalarından kaynaklanır. Harekete bağlı görülme olasılıkları daha fazladır. Bel fıtığı genelde ağır kaldırma gibi sorunlarda yaşanır. Sırt fıtıkları, bel fıtığına göre daha ciddi bir süreçte seyredebilir. Ortaya çıkan belirtiler bel fıtığına göre çok daha ani ve sert olabilecektir.
Sırt Fıtığı Olduğu Nasıl Anlaşılır?
Fiziksel muayene ve tomografi gibi yöntemleri kullanan uzman doktor, kesin tanı konusunda bilgi verecektir. Hasta, başvuru esnasında yaşadığı sıkıntıları detaylı bir şekilde aktarmalıdır. Bilgilere dayanarak elde edilen veriler, görüntüleme teknikleriyle netleşecektir. EMG, MRI gibi yöntemler sinirlerdeki durumu görmek için etkili yollardır.
Sırt Fıtığı Neden Olur?
Sırt bölgesinde fıtık neden olur sorusu tedavi gerektiren durumlardan kaçınmak adına önemli bir konudur. Fıtık hastalığı netice olarak genetik olmamakla beraber meyillilik durumu genetik olarak değerlendirilebilir. Bazı hastalar sinir sıkışmasına genetik olarak daha yatkın olabilir. Diğer yandan fıtık türlerinin genel nedeni, yapılan hareket hatalarıdır.
Vücudu zorlayan ani değişiklikler sırt fıtığının temel nedenlerini oluşturur. Kapasite dışında fiziksel güç uygulamak en önemli nedenlerden biridir. Yeterli antrenman yapmadan ağırlık kaldırmak sırt fıtıklarına neden olabilir.
Ağır yük kaldırılan mesleklere girmek, sırt fıtıklarına neden olabilir. İş güvenliği önerilerinin dışında yük kaldıran kişilerde, zorlama ve omurlar arası fıtık gelişimi olabilir.
Gebelik, ani kilo değişimleri omurlar arası gerilimi artırarak fıtığa zemin hazırlayabilir.
Uzun süre ayakta kalmak, sırt bölgesi yükünü artırarak fıtığa neden olabilecektir. Sıralamaya benzer mantıkla daha birçok ekleme yapılabilir.
Omurlar arası sinirleri geren durumların tespiti konusunda uzmandan yardım alınmalıdır. Sinire baskı yapan fıtık belirtileri olduğunda gecikmeden tedavi süreci başlamalıdır.

Sırt Fıtığı Belirtileri Neler? Nerelerde Ağrı Yapar?
Sırt fıtığı geliştiğinde bel bölgesine vuran ağrı yaygındır. Bu ağrı bazen bel fıtığıyla da karıştırılabilir, ancak omurlar arası fıtık gelişiminin kesin yeri tespit edilmelidir. Sırt fıtığı olan kişilerde görülen belirtiler şöyle sıralanabilir:
Oturur durumda çoğalan, bacak ve sırt ağrısı
Sinir sıkışması nedenli sırtta, bacaklarda karıncalaşma ve hissizlik
Kas güçsüzlüğü, özellikle belirli bölgelerde zayıflık hissi
Halsizlik, normal aktiviteleri yapmada zorluk
Nadiren idrar kaçırma, kontrol etmede zorlanma yaygın görülen belirtiler arasındadır.
Sırt Fıtığı Olanların Yorumları
Belirtiler ve yaşanan sıkıntıları düşünürken direkt olarak bu sorunu yaşayan kişilerin yorumlarını inceleyebilirsiniz. Benzer durumlardan fikir edinmek kesin sonuç vermeyecektir. Kesin tanı için mutlaka bir doktora görünmelisiniz. Fakat sıkıntılı durumu daha iyi ifade etmek adına sırt fıtığı olanlar yorumları konusunda incelenebilir.
Sırt Fıtığı & Torakal Disk Hernisi Tedavisi
Sırt fıtığı tedavisinde yaygın şekilde fizik tedavi, ilaç tedavisi, enjeksiyon tedavileri yer almaktadır. Cerrahi tedaviler, ilerleyen sırt fıtıkları için etkili bir çözüm olabilir. Tedaviler ardından gelen süreçte aynı zorlamaları yapmamak, egzersiz önerilerini rutin şekilde sağlamak gerekir.
Sırt fıtığı, derecesine göre ameliyatsız şekilde tedavi edilebilir. Ameliyatsız tedavi planlandıysa, dinlenme, egzersiz rutinleri eksiksiz şekilde yapılmalıdır. Ağrıyı çoğaltabilecek her türlü aktiviteden kaçınmakta fayda vardır. Bunun yerine hafif tempolu yürüyüş etkinliği sıkça önerilir.
Yürüyüş tedavisi ile ağrı kesici ilaç tedavisinde düzenli olarak ilaç kullanımı sürmelidir. Nadiren, steroid iğne yapılabilir.
Soğuk uygulama önerisi ameliyatsız tedavilerde sıkça görülmektedir. Ağrı olan bölümde günde 5 kere 15 dakika kadar soğuk uygulama gerçekleşmelidir. Doktor önerisine göre sıcak uygulama kullanımı gereken durumlar olabildiği de dikkate alınmalıdır.
Kasların güçlenesi için sinire baskı yapan fıtık egzersizleri düzenli olarak gerçekleşmelidir. Uygulanması riskli olmayan sırt kası hareketleri düzenli olarak yapılmalı, gereken hallerde kas güçlendiren beslenme rutinine uyulmalıdır. Sırt kası egzersizleri ile beraber protein ağırlıklı beslenme faydalı olabilir.
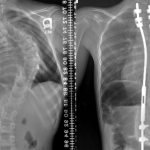
Sırt fıtığı şayet omurilik üzerinde ezici bir baskı yaptıysa ameliyatlı tedavi yöntemi gerekecektir. Omurilik baskını azaltan operasyon sayesinde günlük yaşamda önemli farklar olabilir.
Omurga Ameliyatları Neden Korkutucu Ameliyatlardır?
Omurga ameliyatları birçok kişi tarafından korku uyandıran tedavilerdir. Omur aralıklarına müdahale düşüncesi, felç olma korkusu, omurilikte zincirleme olasılıklar hastaları tedirgin edebilir. Fakat bu endişeler çoğu zaman yersiz olup, profesyonel bir müdahale söz konusudur.
Sırt omurları ameliyatlı tedavi gerektirdiği halde gereken operasyon yapılmazsa, süreç çok sıkıntılı bir hal alabilir. Omurilik üzerinde fıtık baskısı arttıkça, sinirlerdeki gerilim ve zincirleme etki daha da çoğalacaktır. Diğer omur aralıkları gerildiğinde tedavi zor bir hal alabileceğinden sakatlık riski doğar.
Sırt Fıtığı Olanların Dikkat Etmesi Gerekenler?
Torakal disk hernisi veya sırt fıtığı olanlar yaşam tarzında bazı değişikliklere yer açmalıdır. Tam iyileşme olduğu bilgisi verilse de yeniden benzer sorunları yaşamamak için beslenme ve fiziksel aktiviteye dikkat etmek gerekir.
D vitamini, kemikleri besleyen önemli bir takviye olacaktır. Düzenli olarak güneşlenmek, kemik sağlığınızı koruyacaktır. Kalsiyum içerikli besinlerle D vitamini omurga sağlığı bakımından önemlidir.
Bel bölgesi yağlanmalarını azaltarak omurgadaki baskı olasılığını azaltabilirsiniz. Kilo sorunu olan kişilerde fıtık tedavisi daha zor hal alabilecektir.


